Projects:
Medical and Computational Imaging |
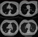
In earlier work we pioneered the use of programmable commodity graphics hardware boards (GPUs) to accelerate a wide variety of 3D computer tomographic (CT) reconstruction algorithms, achieving speed-ups of 1-2 orders of magnitude without significant loss in reconstruction quality. As part of that effort we developed the RapidCT system which enabled fast, accelerated 3D reconstruction in diagnostic imaging, radio-therapy applications, surgery planning, electron microscopy, and others, at a fraction of the cost of proprietary devices. In more recent work we explore the use of generative adversarial networks and diffusion models for augmenting sparse image collection which synthetic images. We developed a Visual Turing Test that challenges radiologists to identify our synthetic images in a collection of real and synthetic ones, but they no longer can. Our work has high potential to aid in precision medicine and overcome biases toward underrepresented groups.
![]() |
Guided Synthesis of Annotated Lung CT Images with Pathologies Using a Multi-Conditioned Denoising Diffusion Probabilistic Model (mDDPM) A Krishna, G Wang, K Mueller Physics in Medicine & Biology 70 065007, 2025 |
![]() |
|
![]() |
Multi-Conditioned
Denoising Diffusion Probabilistic Model (mDDPM) for Medical Image Synthesis A Krishna, G Wang, K Mueller International Conference on Image Formation in X-Ray Computed Tomography Bamberg, Germany, August 2024 |
![]() |
|
![]() |
Image
Factory: A Method for Synthesizing Novel CT Images with Anatomical Guidance A Krishna, S Yenneti, G Wang, K Mueller Medical Physics 51(5), 3464-3479, 2024 |
![]() |
|
![]() |
Novel
Lung CT Image Synthesis at Full Hounsfield Range with Expert Guided Visual
Turing Test A Krishna, S Yenneti, G Wang, K Mueller International Meeting on Fully Three-Dimensional Image Reconstruction Stony Brook, NY, July 2023 |
![]() |
|
![]() |
Improving
CT Image Segmentation Accuracy Using StyleGAN Driven Data Augmentation S Bhosale, A Krishna, G Wang, K. Mueller International Meeting on Fully Three-Dimensional Image Reconstruction Stony Brook, NY, July 2023 |
![]() |
|
![]() |
Development
of Metaverse for Intelligent Healthcare G. Wang, A. Badal, X. Jia, J. Maltz, K. Mueller, K. Myers, C. Niu, M. Vannier, P. Yan, Z. Yu, R. Zeng Nature Machine Intelligence 4, pp. 922–929, 2022 |
![]() |
|
![]() |
Anatomy-guided
synthesis of novel CT images at full Hounsfield range A. Krishna, G. Wang, K Mueller IEEE Medical Imaging Conference Milano, Italy, November 5-11, 2022 |
![]() |
|
![]() |
Noise
Entangled GAN For Low-Dose CT Simulation C. Niu, G. Wang, P. Yan, J. Hahn, Y. Lai, X. Jia, A. Krishna, K. Mueller, A. Badal, K. Myers, R. Zen International Meeting on Fully Three-Dimensional Image Reconstruction Leuven, Belgium, July 2021. (shortlisted for best oral award) |
![]() |
|
![]() |
Image
Synthesis for Data Augmentation in Medical CT using Deep Reinforcement Learning A. Krishna, K. Bartake, C. Niu, G. Wang, Y. Lai, X. Jia, K. Mueller International Meeting on Fully Three-Dimensional Image Reconstruction Leuven, Belgium, July 2021. (shortlisted for best oral award) |
![]() |
|
![]() |
Interpreting
Galaxy Deblender GAN from the Discriminator’s Perspective H. Li, Y. Lin, W. Xu, K. Mueller International Symposium on Visual Computing Virtual, October 5-7, 2020. |
![]() |
|
![]() |
Metal
Artifact Reduction in X-ray CT via Ray Profile Correction S. Ha, K. Mueller Applied Sciences 10, 66, 2020 |
![]() |
|
![]() |
Medical
(CT) Image Generation with Style A. Krishna, K. Mueller International Meeting on Fully Three-Dimensional Image Reconstruction (Fully3D) Philadelphia, PA, June 2019 |
![]() |
|
![]() |
A
GPU-Accelerated Multi-Voxel Update Scheme for Iterative Coordinate Descent
(ICD) Optimization in Statistical Iterative CT Reconstruction (SIR) S. Ha, K. Mueller IEEE Transactions on Computational Imaging 4(3): 355-365, 2018 |
![]() |
|
![]() |
Image
Reconstruction Is a New Frontier of Machine Learning G. Wang. J. C. Ye, K. Mueller, J. A. Fessler, IEEE Transactions on Medical Imaging 7(6), 1289-1296, 2018 |
![]() |
|
![]() |
Metal
Artifact Reduction in Cone-Beam X-Ray CT via Ray Profile Correction S. Ha, K. Mueller Extended article to original SPIE Medical Imaging 2016 publication July, 2018 |
![]() |
|
![]() |
A
Look-Up Table-Based Ray Integration Framework for 2D/3D Forward and Back-projection
in X-ray CT S. Ha, K. Mueller IEEE Transactions on Medical Imaging 37(2): 361-371, 2018 |
![]() |
![]() |
![]() |
Low-Dose
CT Streak Artifacts Removal using Deep Residual Neural Networks H. Li, K. Mueller Fully 3D Image Reconstruction in Radiology and Nuclear Medicine Xi'an, China, June 2017 |
![]() |
![]() |
![]() |
Efficient
Area-Based Ray Integration Using Summed Area Tables and Regression Models S. Ha, H. Li, K. Mueller International Conference on Image Formation in X-Ray Computed Tomography Bamberg, Germany, July, 2016 |
![]() |
|
![]() |
Metal
Artifact Reduction in CT via Ray Profile Correction S. Ha, K. Mueller SPIE Medical Imaging Conference San Diego, CA, February, 2016 |
![]() |
|
![]() |
MADR:
Metal Artifact Detection and Reduction S. Jaiswal, S. Ha, K. Mueller SPIE Medical Imaging Conference San Diego, CA, February, 2016 |
![]() |
|
![]() |
A
Study of Sparse Detector Designs with Interpolation for Multi-Slice Spiral
CT D. Coelho, K. Mueller IEEE Medical Imaging Conference, (poster) San Diego, CA, November, 2015. |
![]() |
|
![]() |
An
Algorithm to Compute Independent Sets of Voxels for Parallelization of ICD-based
Statistical Iterative Reconstruction S. Ha, K. Mueller Fully 3D Image Reconstruction in Radiology and Nuclear Medicine, (oral) Newport, RI, June 2015. |
![]() |
![]() |
![]() |
A
Study of Volume Integration Models for Iterative Cone-Beam Computed Tomography S. Ha, A. Kumar, K. Mueller Fully 3D Image Reconstruction in Radiology and Nuclear Medicine, (poster) Newport, RI, June 2015. |
![]() |
|
![]() |
Low
Dose CT Image Restoration Using a Database of Image Patches S. Ha, K. Mueller Physics in Medicine and Biology 60(2):869-880, 2015. |
![]() |
|
![]() |
DQS
Advisor: A Visual Interface and Knowledge-Based System to Balance Dose,
Quality, and Reconstruction Speed in Iterative CT Reconstruction with Application
to NLM-Regularization Z. Zheng, E. Papenhausen, K. Mueller Physics in Medicine and Biology 58(21):7857-73, 2013 |
![]() |
![]() |
![]() |
Rapid
Rabbit: Highly Optimized GPU Accelerated Cone-Beam CT Reconstruction E. Papenhausen, Z. Zheng, K. Mueller IEEE Medical Imaging Conference Seoul, Korea, November, 2013 |
![]() |
|
![]() |
DQS
Advisor: a Visual Interface to Balance Dose, Quality and Reconstruction
Speed in Iterative CT Z. Zheng, E. Papenhausen, K. Mueller IEEE Medical Imaging Conference Seoul, Korea, November, 2013 |
![]() |
|
![]() |
Low
Dose CT Image Restoration Using a Localized Patch Database S. Ha, K. Mueller IEEE Medical Imaging Conference Seoul, Korea, November, 2013 |
![]() |
|
![]() |
VACT:
Visualization-Aware CT Reconstruction Z. Zheng, K. Mueller IEEE Medical Imaging Conference Seoul, Korea, November, 2013 |
![]() |
|
![]() |
Cloud
X: A Platform as a Service for CT Reconstruction Research and Development E. Papenhausen, Z. Zheng, K. Mueller Fully 3D Image Reconstruction in Radiology and Nuclear Medicine (oral) Lake Tahoe, CA, June 2013 |
![]() |
|
![]() |
A
Comparative Study of Neighborhood Filters for Artifact Reduction in Iterative
Low-Dose CT W. Xu, S. Ha, Z. Zheng, K. Mueller Fully 3D Image Reconstruction in Radiology and Nuclear Medicine (poster) Lake Tahoe, CA, June 2013 |
![]() |
|
![]() |
Database-Assisted
Low-Dose CT Image Restoration W. Xu, S. Ha, K. Mueller Medical Physics 3(40):031109, 2013 |
![]() |
|
![]() |
Creating
Optimal Code for GPU-Accelerated CT Reconstruction Using Ant Colony Optimizationn E. Papenhausen, Z. Zheng, K. Mueller Medical Physics 3(40): 031110, 2013 |
![]() |
|
![]() |
Detection
of Low-Dose CT Reconstruction Artifacts Using a Bi-Modal Approach S. Mahmood, K. Mueller SPIE Medical Imaging Conference Orlando, FL, February, 2013 |
![]() |
|
GPU-Accelerated
Forward and Back-Projections with Spatially Varying Kernels for 3D DIRECT
TOF PET Reconstructionn S. Ha, S. Matej, M.Ispiryan, K. Mueller IEEE Transactions on Nuclear Science 60(1):166-173, 2013 |
![]() |
||
![]() |
Effcient
Low-Dose CT Artifact Mitigation using an Artifact-Matched Prior Scan W. Xu, K. Mueller Medical Physics 39:4748-4760, 2012 |
![]() |
|
![]() |
GPU-Accelerated
Forward and Backward Projection with Spatially Varying Kernels in 3D DIRECT
TOF PET Reconstruction S. Ha, S. Matej, M.Ispiryan, K. Mueller IEEE Medical Imaging Conference Anaheim, CA, October 2012 |
![]() |
|
![]() |
Coding
Ants: Using Ant Cclony Optimization to Accelerate CT Reconstruction E. Papenhausen, Z. Zheng, K. Mueller Proc. 2nd International Conference on Image Formation in X-ray Computed Tomography (Premium Poster) Salt Lake City, UT, July 2012 |
![]() |
|
![]() |
Searching
Effective Parameters for Low-Dose CT Reconstruction by Ant Colony Optimization Z. Zheng, E. Papenhausen, K. Mueller Proc. 2nd International Conference on Image Formation in X-ray Computed Tomography Salt Lake City, UT, July 2012 |
![]() |
|
![]() |
GPU-Accelerated
First-Order Scattering Simulation for X-ray CT Image Reconstruction S. Ha, J. Pi, K. Mueller Proc. 2nd International Conference on Image Formation in X-ray Computed Tomography Salt Lake City, UT, July 2012 |
![]() |
|
![]() |
Database-Assisted
Low-Dose CT Image Restoration W. Xu, S. Ha, K. Mueller Proc. 2nd International Conference on Image Formation in X-ray Computed Tomography (Oral presemtation) Salt Lake City, UT, July 2012 |
![]() |
|
![]() |
A
Reference Image Database Approach for NLM Filter-Regularized CT Reconstruction W. Xu, K. Mueller Fully 3D Image Reconstruction in Radiology and Nuclear Medicine Potsdam, Germany, July, 2011 |
![]() |
|
![]() |
GPU-Accelerated
Back-Projection Revisited: Squeezing Performance by Careful Tuning E. Papenhausen, Z. Zheng, K. Mueller Workshop on High Performance Image Reconstruction (HPIR) Potsdam, Germany, July, 2011 |
![]() |
|
![]() |
Identifying
Sets of Favorable Projections for Few-View Low-Dose Cone-Beam CT Scanning Z. Zheng, K. Mueller Fully 3D Image Reconstruction in Radiology and Nuclear Medicine Potsdam, Germany, July, 2011 |
![]() |
|
![]() |
Performance
Tuning for CUDA-Accelerated Neighborhood Denoising Filters Z. Zheng, W. Xu, K. Mueller Workshop on High Performance Image Reconstruction (HPIR) Potsdam, Germany, July, 2011 |
![]() |
|
![]() |
Efficiently
GPU-Accelerating Long Kernel Projections in 3-D DIRECT TOF PET Reconstruction
via a Memory Cache Optimization S. Ha, S. Matej, K. Mueller Workshop on High Performance Image Reconstruction (HPIR) Potsdam, Germany, July, 2011 |
![]() |
|
![]() |
Evaluating
Popular Non-Linear Image Processing Filters for their Use in Regularized
Iterative CT W. Xu, K. Mueller IEEE Medical Imaging Conference Knoxville, TN, October, 2010 |
![]() |
|
![]() |
A
Cache-Aware GPU Memory Scheduling Scheme for CT Reconstruction Back-Projection Z. Zheng, K. Mueller IEEE Medical Imaging Conference Knoxville, TN, October, 2010 |
![]() |
|
![]() |
Efficiently
GPU-Accelerating Long Kernel Convolutions in 3-D DIRECT TOF PET Reconstruction
via a Kernel Decomposition Scheme S. Ha, Z. Zhang, S. Matej, K. Mueller IEEE Medical Imaging Conference Knoxville, TN, October, 2010 |
![]() |
|
![]() |
High-Performance
Iterative Electron Tomography Reconstruction with Long-Object Compensation
using Graphics Processing Units (GPUs) W. Xu, F. Xu, M. Jones, B. Keszthelyi, J. Sedat, D. Agard, K. Mueller Journal of Structural Biology 171(2):142-153, 2010 |
![]() |
|
![]() |
Refraction Corrected Transmission Ultrasound Computed Tomography for Application
in Breast Imaging S. Li, M. Jackowski, T. Varslot, D. Dione, L. Staib, K. Mueller Medical Physics 37(5):2233-2246, 2010 |
![]() |
|
![]() |
On the Efficiency of Iterative Ordered Subset Reconstruction Algorithms
for Acceleration on GPUs F. Xu, W. Xu, M. Jones, B. Keszthelyi, J. Sedat, D. Agard, K. Mueller Computer Methods and Programs in Biomedicine 98(3):261-270, 2010 (erratum file) |
![]() |
![]() |
![]() |
GPU-Based
Ultrafast IMRT Plan Optimization C. Men, X. Gu, D. Choi, A. Majundar. Z. Zheng, K. Mueller, S. Jiang Physics in Medicine and Biology 54, pp. 6565-6573, 2009 |
![]() |
|
![]() |
Optimal
Sampling Lattices for High-Fidelity CT Reconstruction F. Xu and K. Mueller IEEE Medical Imaging Comference Orlando, FL, October, 2009 |
![]() |
![]() |
![]() |
Learning
Effective Parameter Settings for Iterative CT Reconstruction Algorithms W. Xu, K. Mueller Fully 3D Image Reconstruction in Radiology and Nuclear Medicine Beijing, China, September, 2009 |
![]() |
![]() |
![]() |
A
Performance-Driven Study of Regularization Methods for GPU-Accelerated Iterative
CT W. Xu, K. Mueller Workshop on High Performance Image Reconstruction (HPIR) Beijing, China, September, 2009 |
![]() |
![]() |
![]() |
Accelerating
Regularized Iterative CT Reconstruction on Commodity Graphics Hardware (GPU) W. Xu, K. Mueller IEEE International Symposium on Biomedical Imaging (ISBI) Boston, MA, July, 2009 |
![]() |
![]() |
![]() |
On
the Efficiency of Iterative Ordered Subset Reconstruction Algorithms for
Acceleration on GPUs |
![]() |
![]() |
![]() |
Physical-Space
Refraction-Corrected Transmission Ultrasound Computed Tomography Made Computationally
Practical S. Li, K. Mueller, M. Jackowski, D. Dione, L. Staib MICCAI '08 New York, NY, September 2008 Springer Lecture Notes In Computer Science, vol. 5242, pp. 280-288 |
![]() |
![]() |
![]() |
GPU-Acceleration
of Attenuation and Scattering Compensation in Emission Computed Tomography |
![]() |
![]() |
![]() |
Real-Time
3D Computed Tomographic Reconstruction Using Commodity Graphics Hardware F. Xu and K. Mueller Physics in Medicine and Biology vol. 52, pp. 3405–3419, 2007 |
![]() |
![]() |
![]() |
Hardware
acceleration vs. algorithmic acceleration: Can GPU-based processing beat
complexity optimization for CT? N. Neophytou, F. Xu, and K. Mueller SPIE Medical Imaging '07 San Diego, February 2007 |
![]() |
![]() |
![]() |
Why
do GPUs work so well for acceleration of CT? K. Mueller, F. Xu, and N. Neophytou SPIE Electronic Imaging '07 (Keynote, Computational Imaging V) San Jose, January 2007 |
![]() |
![]() |
![]() |
Fast
Marching Method to correct for refraction in ultrasound computed tomography |
![]() |
|
![]() |
Practical
considerations for GPU-accelerated CT K. Mueller and F. Xu IEEE 2006 International Symposium on Biomedical Imaging (ISBI '06) Arlington, VA, April 2006 pp. 1184-1187, 2006 |
![]() |
![]() |
![]() |
A
comparative study of popular interpolation and integration methods for
use in computed tomography |
![]() |
![]() |
![]() |
Accelerating Popular Tomographic Reconstruction Algorithms On
Commodity PC Graphics Hardware F. Xu and K. Mueller IEEE Transactions on Nuclear Science vol. 52, no. 3, pp. 654-663, 2005 |
![]() |
![]() |
![]() |
Ultra-Fast 3D Filtered Backprojection on Commodity Graphics Hardware F. Xu and K. Mueller IEEE International Symposium on Biomedical Imaging (ISBI '04) Arlington, VA, April 2004 |
![]() |
|
![]() |
Towards a Unified Framework for Rapid Computed Tomography on
Commodity GPUs F. Xu and K. Mueller IEEE Medical Imaging Conference (MIC) 2003 Portland, OR, October 2003 |
![]() |
|
![]() |
Conceptual design of a proton computed tomography system for
applications in proton radiation therapy R. Schulte, V. Bashkirov, T. Li, Z. Liang, K. Mueller, et al., IEEE Transactions on Nuclear Science vol. 51, no. 3, pp. 866-872, 2004 |
![]() |
|
![]() |
Reconstruction for Proton Computed Tomography: A Practical Approach K. Mueller, Z. Liang, T. Li, F. Xu, et al. IEEE Medical Imaging Conference (MIC) 2003 Portland, OR, October 2003 |
![]() |
|
![]() |
Design of a Proton Computed Tomography System for Applications
in Proton Radiation Therapy R. Schulte, V. Bashkirov, T. Li, J. Liang, K. Mueller, et al. IEEE Medical Imaging Conference (MIC) 2003 Portland, OR, October 2003 |
![]() |
|
![]() |
Reconstruction for Proton Computed Tomography: A Monte Carlo
Study T. Li, Z. Liang, K. Mueller, et al. IEEE Medical Imaging Conference (MIC) 2003 Portland, OR, October 2003 |
![]() |
|
Rapid 3D cone-beam reconstruction with the Simultaneous Algebraic
Reconstruction Technique (SART) using 2D texture mapping hardware
K. Mueller and R. Yagel IEEE Transactions on Medical Imaging vol. 19, no. 12, pp. 1227-1237, 2000 |
![]() |
||
![]() |
Anti-aliased 3D cone-beam reconstruction of low-contrast objects
with algebraic methods K. Mueller, R. Yagel, and J.J. Wheller IEEE Transactions on Medical Imaging vol. 18, no. 6, pp. 519-537, 1999 |
![]() |
|
Fast implementations of algebraic methods for the 3D reconstruction
from cone-beam data K. Mueller, R. Yagel, and J.J. Wheller IEEE Transactions on Medical Imaging vol. 18, no. 6, pp. 538-547, 1999 |
![]() |
||
On the use of graphics hardware to accelerate algebraic reconstruction
methods K. Mueller and R. Yagel 1999 SPIE Medical Imaging Conference, No. 3659-62 San Diego, February 1999 |
![]() |
||
![]() |
Fast and accurate three-dimensional reconstruction from cone-beam
projection data using algebraic methods K. Mueller PhD dissertation, The Ohio State University June, 1998 |
![]() |
|
A fast and accurate projection algorithm for the Algebraic Reconstruction
Technique (ART) K. Mueller, R. Yagel, and J.J. Wheller 1998 SPIE Medical Imaging Conference, Vol. SPIE 3336 San Diego, February 1998 pp. 24-732 (won Honorary Mention Award) |
![]() |
||
The weighted distance scheme: a globally optimizing projection
ordering method for the Algebraic Reconstruction Technique (ART)
K. Mueller, R. Yagel, and J.F. Cornhill IEEE Transactions on Medical Imaging vol. 16, no. 2, pp. 223-230, 1997 |
![]() |
||
Accelerating the anti-aliased Algebraic Reconstruction Technique
(ART) by table-based voxel backward projection K. Mueller, R. Yagel, and J.F. Cornhill EMBS'95 (Conference of the IEEE Engineering in Medicine and Biology Society) Montreal, June 1995 pp. 579-580 |
![]() |
Some current projects include the use of programmable commodity graphics hardware (GPUs) to accelerate a wide variety of 3D tomographic reconstruction algorithms. So far we have achieved speedups of 1-2 orders of magnitude (a factor of 10-100), without significant losses in reconstruction quality (see here for more information). Our approach enables rapid 3D reconstruction in diagnostic imaging, radio-therapy applications, surgery planning, electron microscopy, and others, at a fraction of the cost of proprietary hardware. Related projects are the 3D reconstruction from transmission ultrasound, transmission electron microscopy, MV-CT and proton-CT data, projections obtained via mobile X-ray source/detector pairs, and functional imaging applications, including MRI, functional MRI, SPECT, and PET.